Menu
Home
2 Nodular goiter
3 Non-nodular thyroid
4 Non-thyroid neck
5 US-interventions
6 Advanced courses
The operated thyroid
Cases
Supplement
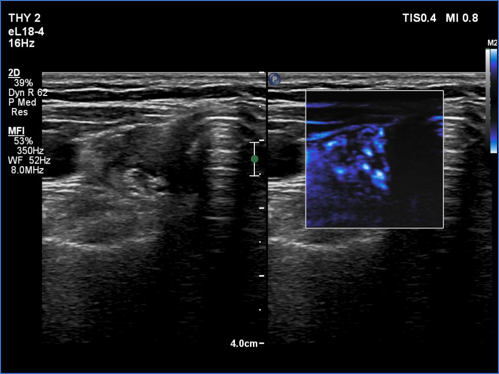
The operated thyroid - case 1563 (ultrasonographic picture 4)
Right lobe, transverse scan, microflow imaging. The lobe has numerous vessels.