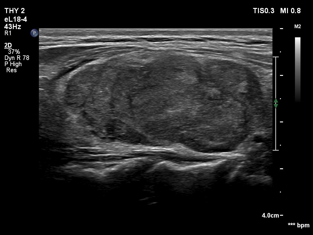
The operated thyroid - case 1570 (ultrasonographic picture 3)
|
|
|
|
Left lobe, longitudinal scan. The operated left lobe is composed of a central hypoechoic mass surrounded with thin echonormal tissue. The former has irregular, lobulated margins. This is a typical presentation of an operated, resected lobe frequently misinterpreted as a hypoechoic nodule.
