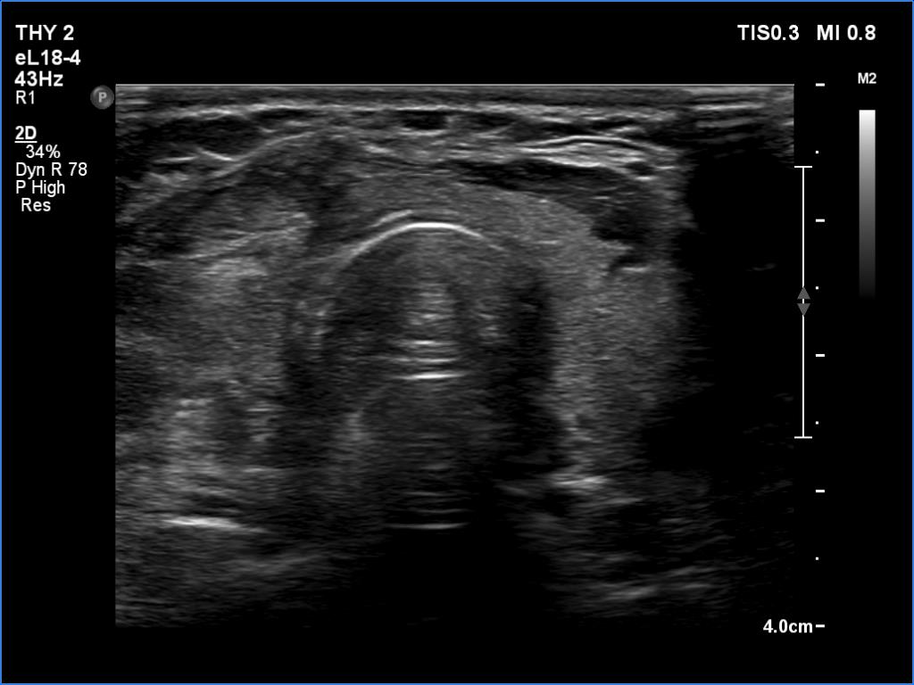
The operated thyroid - case 1641
Four weeks after the surgery (ultrasonographic picture 4)
|
|
|
|
The thyroid, transverse scan. The right lobe was removed while the isthmus and the left lobe was left inside. Note the difference between the regenerative and the healthy thyroid tissue.
