Menu
Home
2 Nodular goiter
3 Non-nodular thyroid
4 Non-thyroid neck
5 US-interventions
6 Advanced courses
The operated thyroid
Cases
Supplement
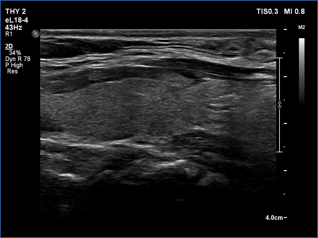
The operated thyroid - case 1641
Four weeks after the surgery (ultrasonographic picture 6)
Left lobe, longitudinal scan.