The operated thyroid - case 1641 (ultrasonographic picture 5)


Previous picture Back to Case Next picture

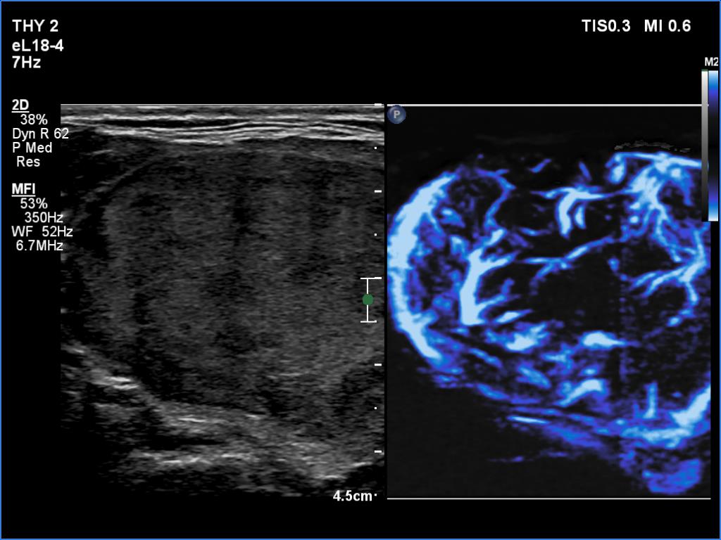
Right lobe, longitudinal scan

Lateral part of the right lobe, transverse scan, microflow imaging. The nodule is rich in vessels.

 

 

 

 

mask