Menu
Home
2 Nodular goiter
3 Non-nodular thyroid
4 Non-thyroid neck
5 US-interventions
6 Advanced courses
The operated thyroid
Cases
Supplement
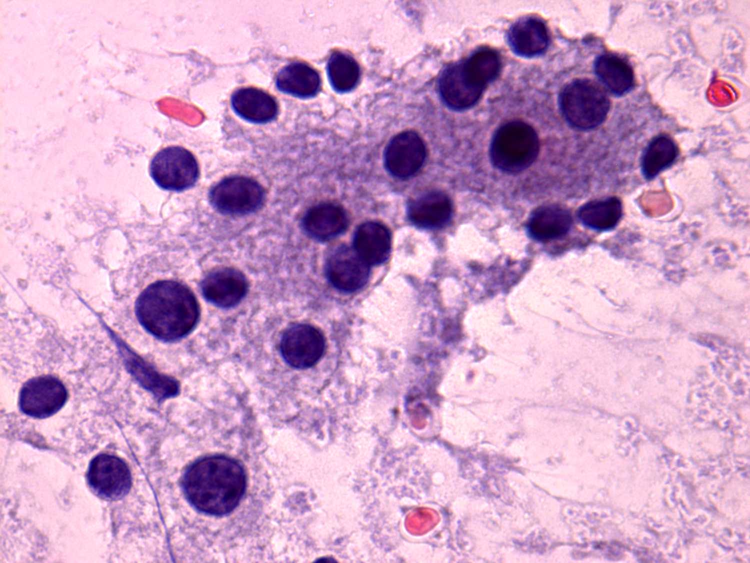
The operated thyroid - case 321 (cytologic picture 6)
Pap-smear, 1000x. Note abundant, protein-rich cytoplasm.