The operated thyroid - case 321
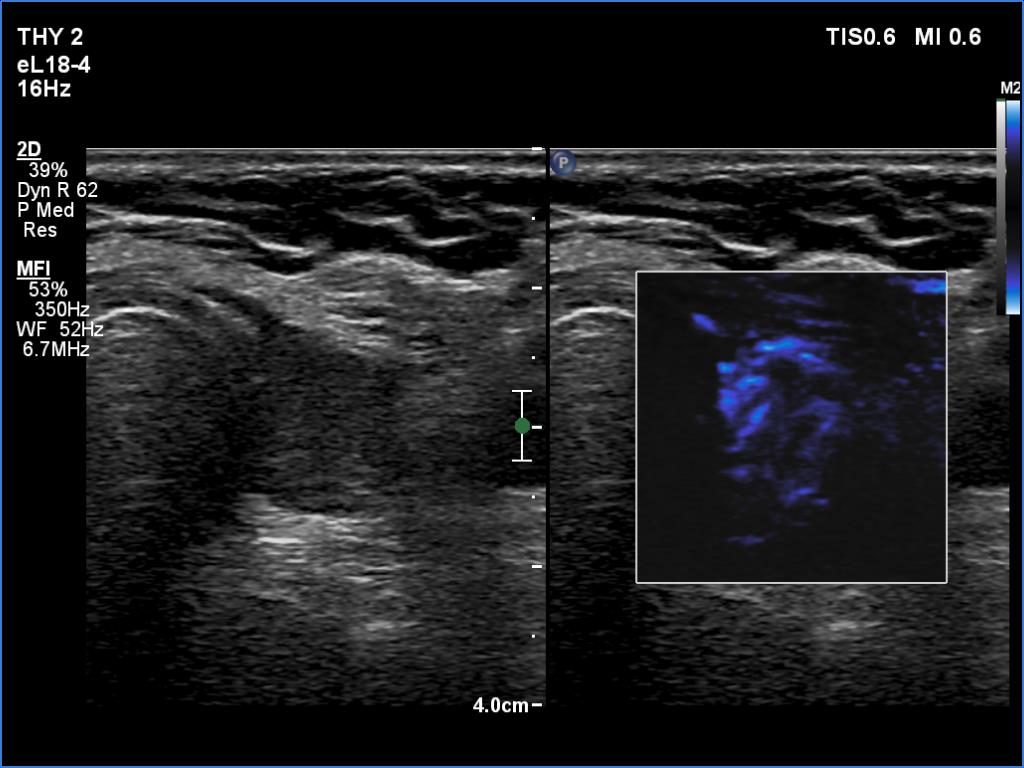
Follow-up investigation 6 years after first visit (ultrasonographic picture 8)
|
|
|
|
Left lobe, transverse scan, microflow imaging. This modality discloses the presence of vessels.
