The operated thyroid - case 49 |
|
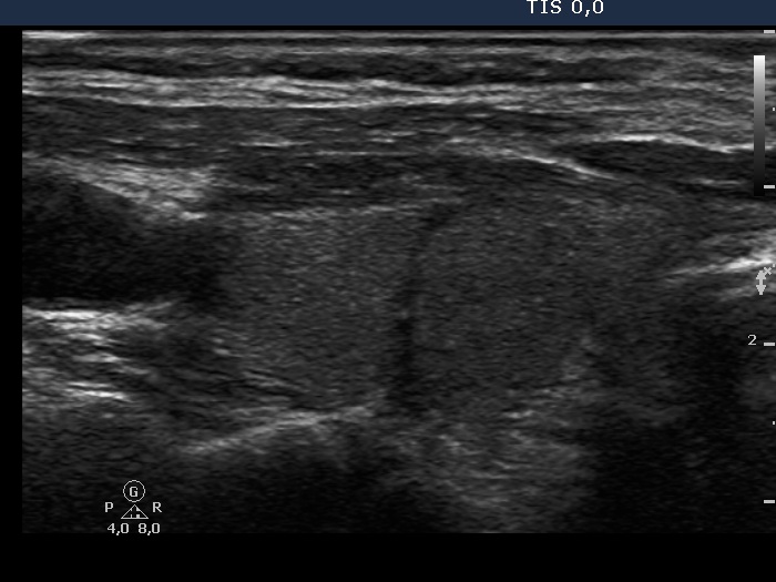
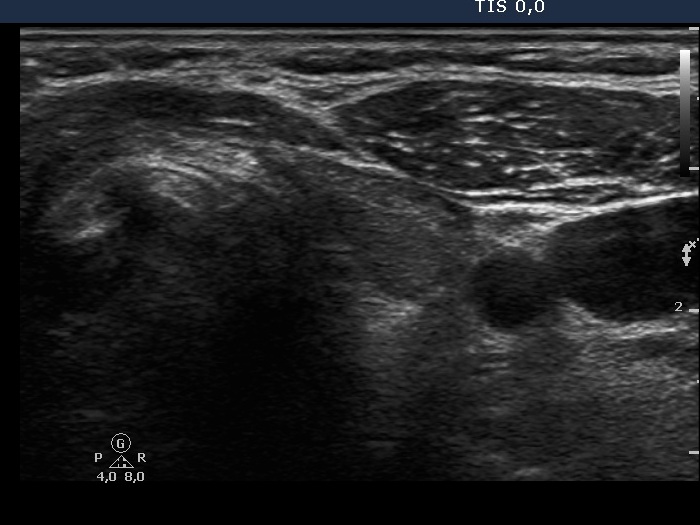
Clinical data: A 47-year-old woman underwent bilateral subtotal lobectomy for nodular goiter 6 years earlier. She was referred for regular follow-up examinations.
Palpation: no abnormality.
Laboratory evaluation: TSH 2.91 mIU/L.
Ultrasonography. The thyroid was composed of circumscribed echonormal and minimally hypoechogenic areas divided by fibrous tissue. None of these areas corresponded to a nodule in a pathological sense.
Comment. After a surgery for Graves 'disease, it is actually not a favorable situation that the patient does not need replacement therapy. In such case, there is a significant risk of a recurrence of the hyperthyroidism.





