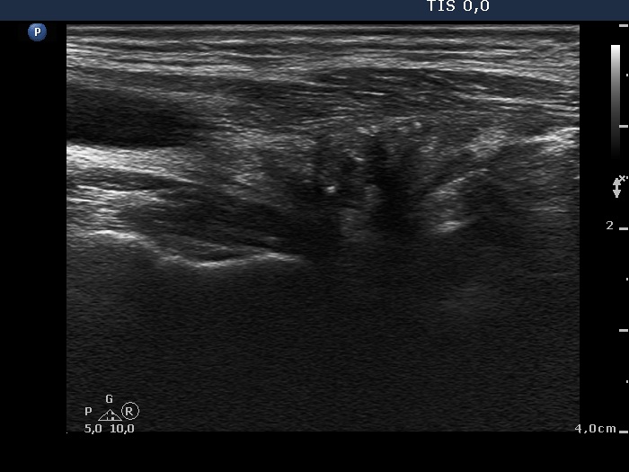
The operated thyroid - case 710

Four months after surgery (ultrasonographic picture 2)


Previous picture Back to Case Next picture

Right lobe, longitudinal scan

Right lobe, longitudinal scan. The extent of the regenerative tissue has decreased.

 

 

 

 

 

 

mask