Menu
Home
2 Nodular goiter
3 Non-nodular thyroid
4 Non-thyroid neck
5 US-interventions
6 Advanced courses
The operated thyroid
Cases
Supplement
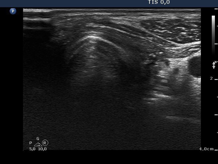
The operated thyroid - case 710
Four months after surgery (ultrasonographic picture 5)
Lower part of the left thyroid bed, transverse scan.