Thyroid cancers - case 1261 |
|
Clinical presentation: A 75-year-old woman was referred for aspiration cytology. The patient was operated for colon cancer 3 years earlier. A metastatic focus in the liver and a cystic nodule in the thyroid was discovered on FDG-PET examination.
Palpation: an elastic nodule in the right side of the isthmus.
Functional state: euthyroidism with TSH 3.27 mIU/L.
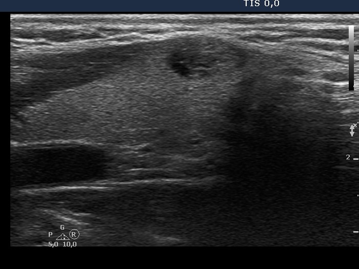
Ultrasonography. There was a mixed solid cystic nodule in the right side of the isthmus. Otherwise, the thyroid was intact.
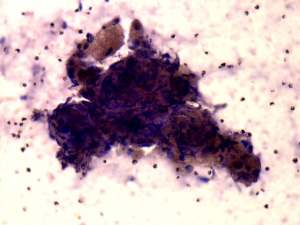
Cytology: Half mL brownish fluid was aspirated. A few cell-fragments were found in dirty background. The fragments resembled a palisading cell-structure. The nuclei within the clusters were elongated.
Wash-out of the needle and the cystic fluid yielded undetectable level of thyroglobulin.
Cytological diagnosis: metastasis of colon cancer.
.














