Thyroid cancers - case 1422 (cytologic picture 2)


Previous picture Back to Case Maximize Next picture

Right lobe, longitudinal scan

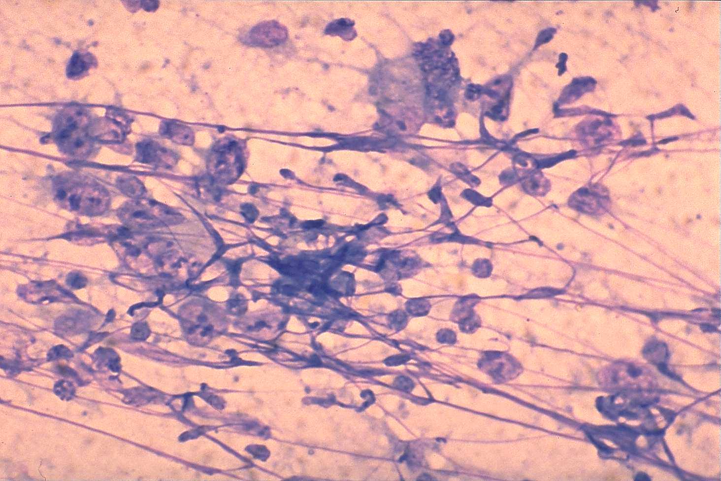
Wright-Giemsa staining, 400x. FNA of the lymph node.  Note the large nucleoli of the pleomorphic cells.

 

 

mask