Menu
Home
2 Nodular goiter
3 Non-nodular thyroid
4 Non-thyroid neck
5 US-interventions
6 Advanced courses
Thyroid cancers
Cases
Supplement
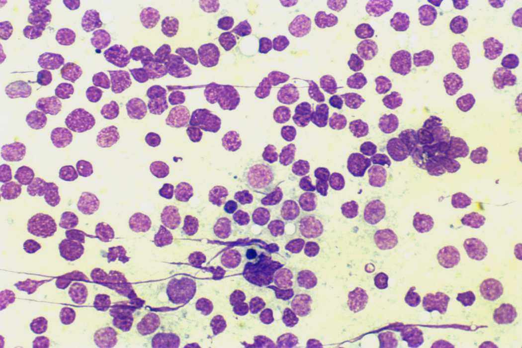
Thyroid cancers - case 1478 (cytologic picture 5)
Wright-Giemsa staining, 200x Note the predominance of lymphoblasts.