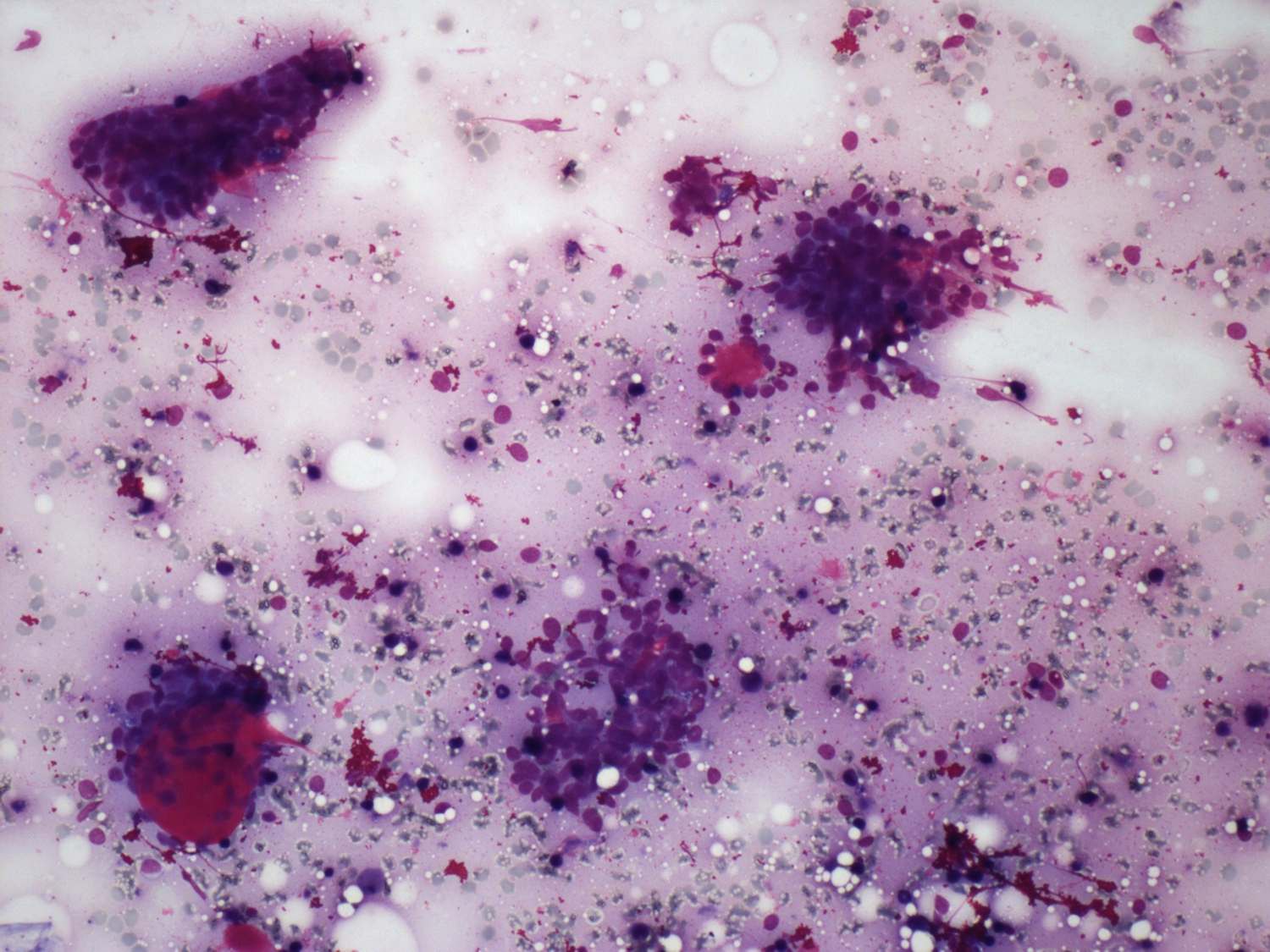
Thyroid cancers - case 1631 (cytologic picture 2 - of another smear)


Previous picture Back to Case Maximize Next picture

Right lobe, longitudinal scan

Wright-Giemsa staining, 200x.  Dispersed naked, elongated nuclei are also seen on the smear.

 

 

 

mask