Thyroid cancers - case 1676 |
|
Clinical data: A 66-year-old man was referred for an evaluation of a suddenly developed mass in the left side of the neck. The patient noticed the tumor first 6 weeks ago.
Palpation: a painless, very hard mass in the left thyroid lobe.
Laboratory examination: TSH 3.14 mIU/L.
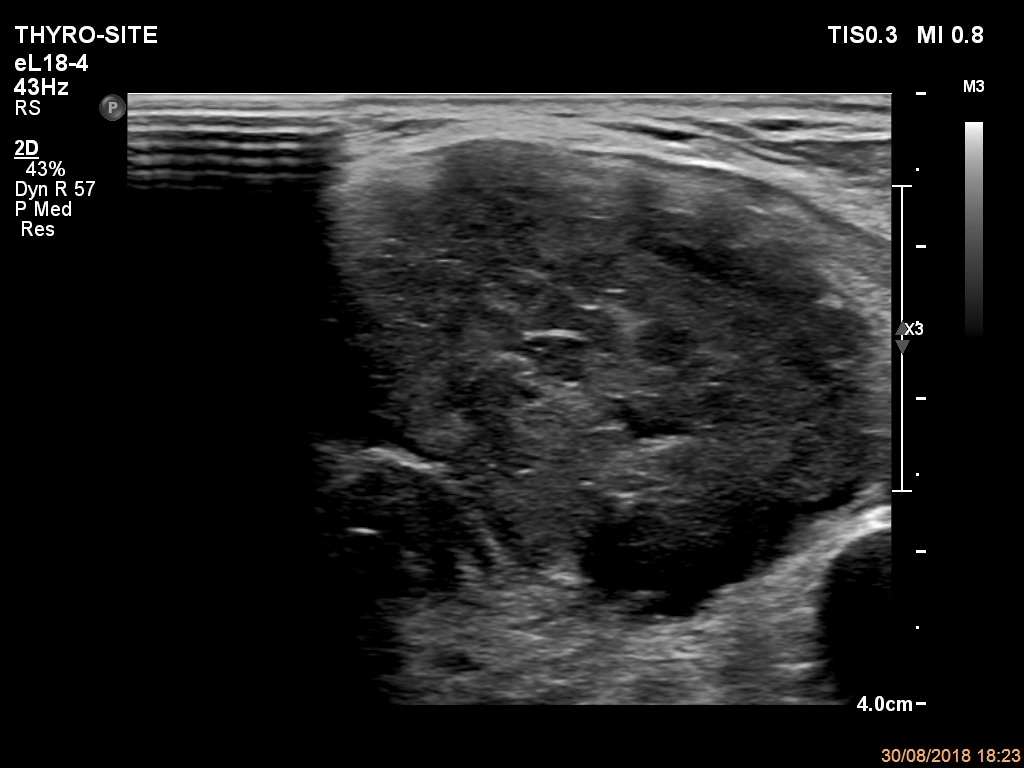
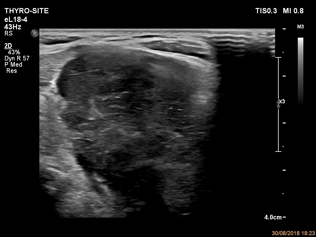
Ultrasonography. The thyroid was echonormal. There were a few hypoechogenic areas in the right lobe. There was a hypoechogenic mass with irregular shape in the left lobe. The lesion had echonormal fields and connective tissue. The microflow imaging revealed no intranodular vascularization while the lesion proved to be very hard on elastography.
Cytological diagnosis: anaplastic carcinoma.
Histopathology: anaplastic carcinoma.
.










