Thyroid cancers - case 1699 (cytologic picture 6)


Previous picture Back to Case Maximize Next picture

Right lobe, longitudinal scan

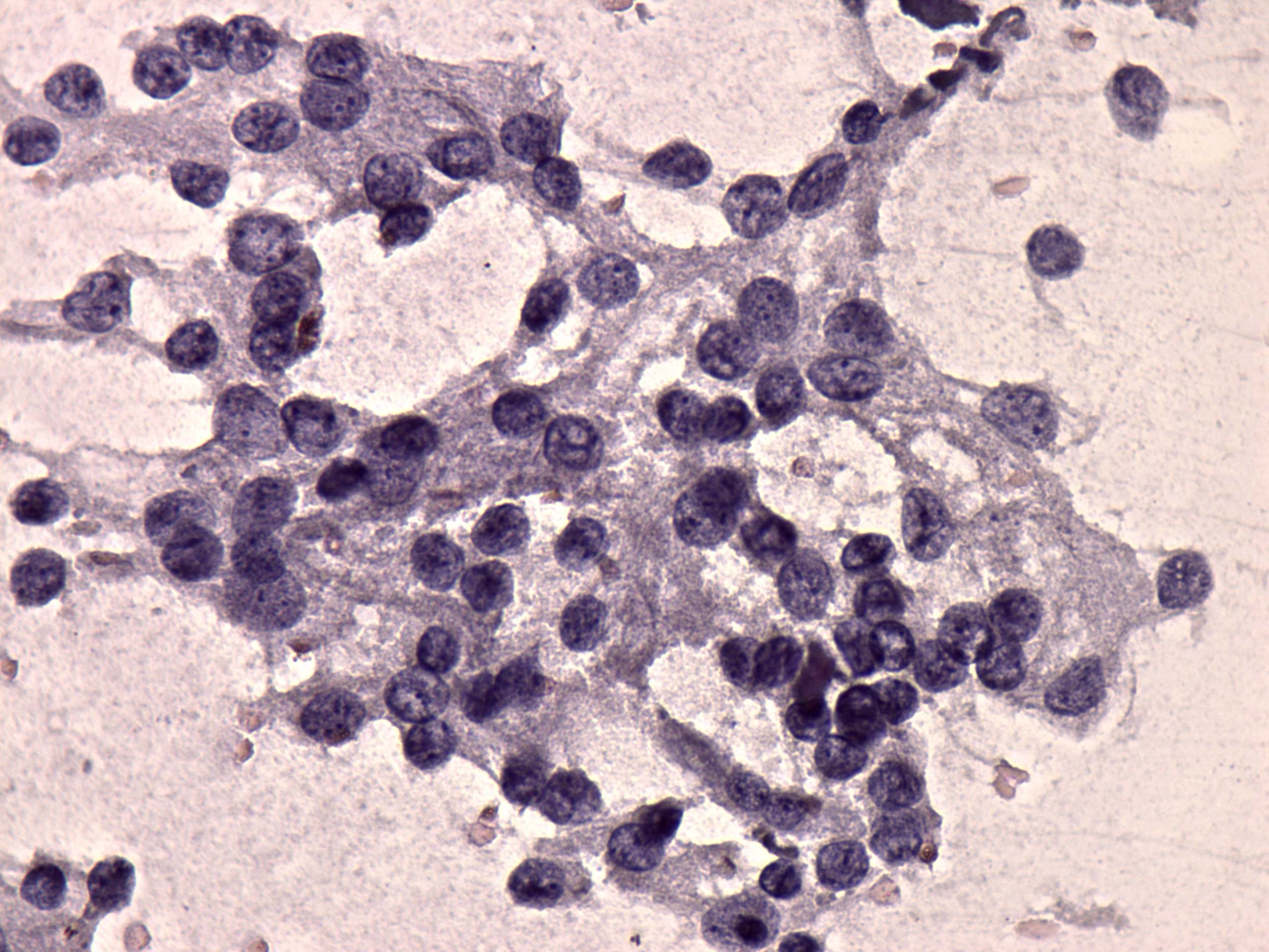
Pap-smear, 400x.  The cellular arrangement is irregular, the nuclei lost their polarity.

 

 

 

mask