Menu
Home
2 Nodular goiter
3 Non-nodular thyroid
4 Non-thyroid neck
5 US-interventions
6 Advanced courses
Thyroid cancers
Cases
Supplement
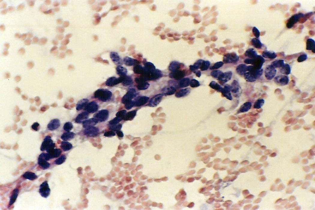
Thyroid cancers - case 174 (cytologic picture 2)
Pap-smear, 400x. This is an irregular, syncytial cell group with loss of polarity.