Menu
Home
2 Nodular goiter
3 Non-nodular thyroid
4 Non-thyroid neck
5 US-interventions
6 Advanced courses
Thyroid cancers
Cases
Supplement
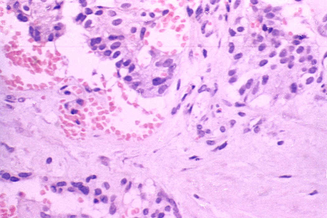
Thyroid cancers - case 174 (histologic picture 4)
H.E.-section, 400x. The previously demonstrated vessel is filled with tumor cells.