Thyroid cancers - case 1760 |
|
Clinical presentation: A 58-year-old woman was previously referred for an evaluation of a right parotid tumor evolved over months. The aspiration cytology from the parotid confirmed a mucoepidermoid cancer. Before surgery a thyroid nodule was detected by the patient.
Palpation: a hard tumor in the isthmic part of the right lobe.
Functional state: euthyroidism (TSH 2.18 mIU/L).
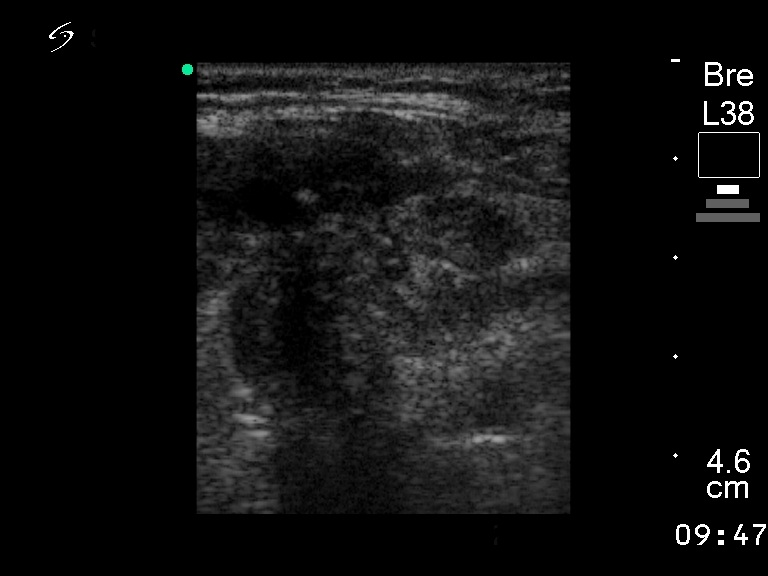
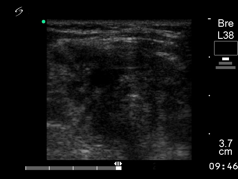
Ultrasonography. There was a large, hypoechogenic inhomogeneous nodule which occupied almost the entire right lobe and the isthmus. The left lobe was intact. There was a hypoechogenic inhomogeneous lesion within the right parotid.
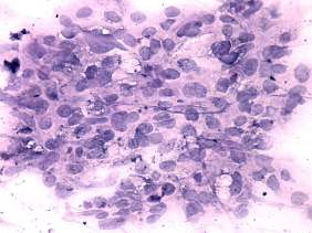
Cytology: There were atypical, elongated tumor cells in a dirty background without any structure. Part of the clusters presented vacuolization and a few unequivocal hyperchromatic epithelial cells were found.
Cytological resulted in metastasis with great probability.
Histopathology: mucoepidermoid cancer of the parotid with metastasis to the lymph nodes and to the thyroid.
Comment. In most cases a metastatic tumor is less well-differentiated compared with the primary focus. I don't think that this cytological pattern would be very characteristic of a mucoepidermoid carcinoma. Nevertheless, it is worth analyzing the cytological images which present some of the characteristic features of the mucus producing elements of this carcinoma.








