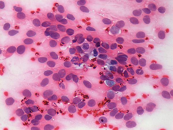
Thyroid cancers
Pap-smear, 400x. This is an irregular cluster composed of partly elongated tumor cells.