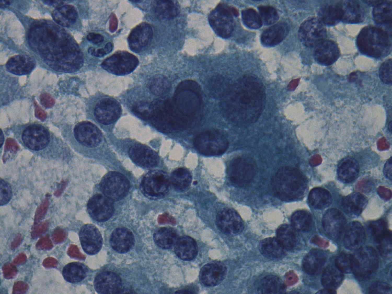
Thyroid cancers - case 209 (cytologic picture 7)
|
|
|
|
Pap-smear, 1000x. Polygonal and elongated cells are found. There are a few enlarged, atypical cells. There is a nucleus with inclusion.

