Menu
Home
2 Nodular goiter
3 Non-nodular thyroid
4 Non-thyroid neck
5 US-interventions
6 Advanced courses
Thyroid cancers
Cases
Supplement
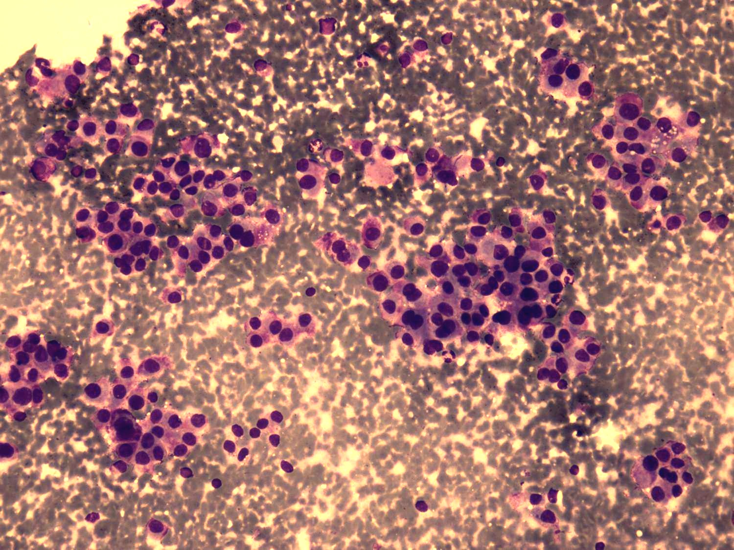
Thyroid cancers - case 269 (cytologic picture 2)
Wright-Giemsa staining, 200x. The cells have abundant cytoplasm.