Thyroid cancers - case 522 (histological picture 3)


Previous picture Back to Case Maximize Next picture

Right lobe, longitudinal scan

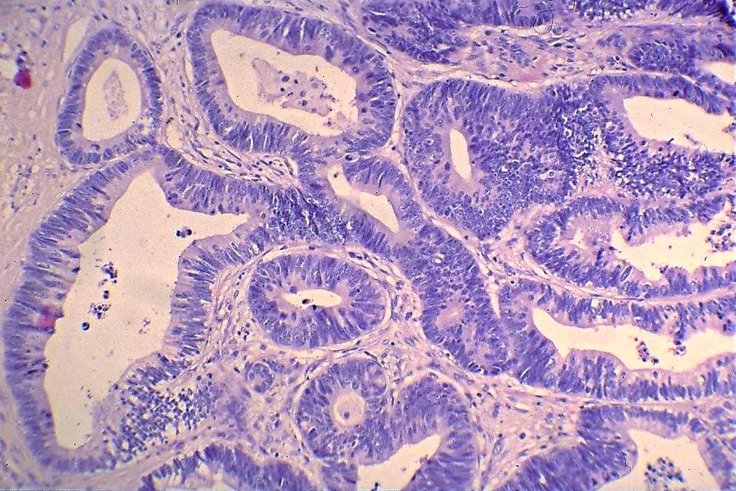
HE section, 200x.   The metastatic carcinoma of the thyroid is composed of atypical tubular glands.

 

 

 

mask