Thyroid cancers - case 522 (histological picture 5)


Previous picture Back to Case Maximize  

Right lobe, longitudinal scan

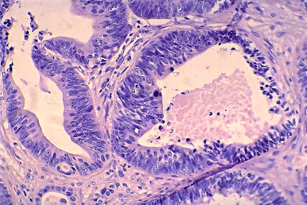
HE section, 200x.   The central area of the image demonstrated the mitotic activity of the metastatic tumor.

 

 

 

mask