Thyroid cancers - case 842 |
|
Clinical presentation: A 42-yr-old woman was referred for evaluation of a thyroid nodule discovered on PET-CT scan. The breast lesion was discovered by the patient herself. Further evaluation disclosed axillary node metastasis. Regarding possible distant metastases, the thyroid was the only positive finding on PET-CT scan.
Palpation: no abnormality.
Laboratory tests: TSH 3.19 mIU/L, aTPO 0.2 U/mL.
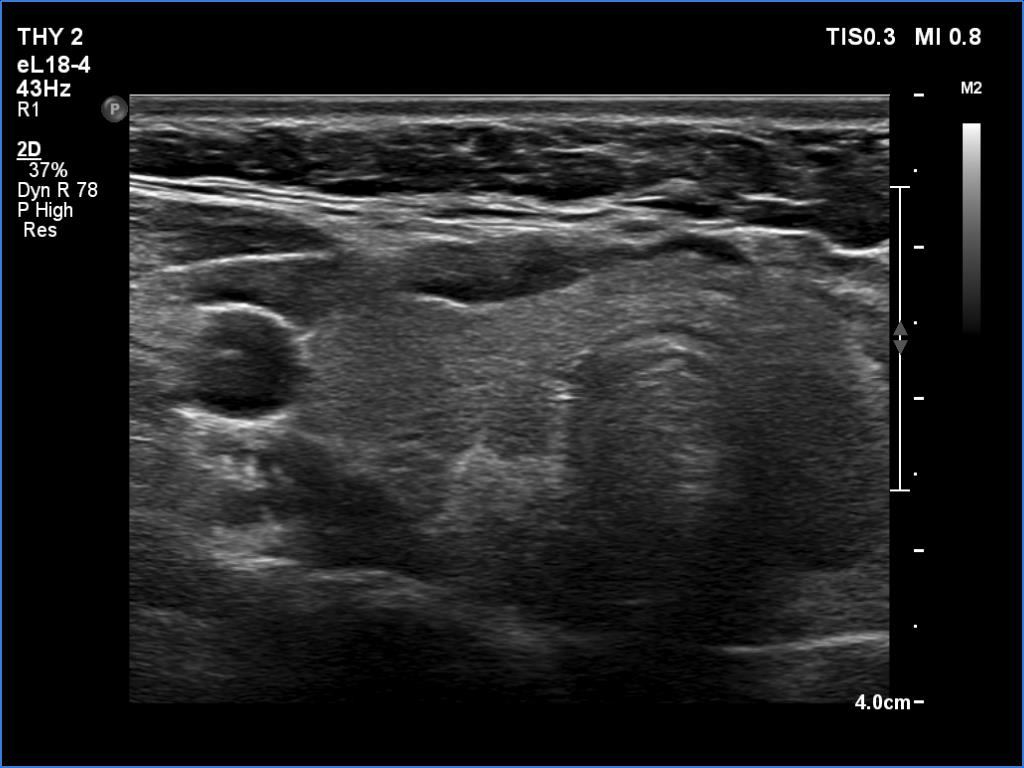
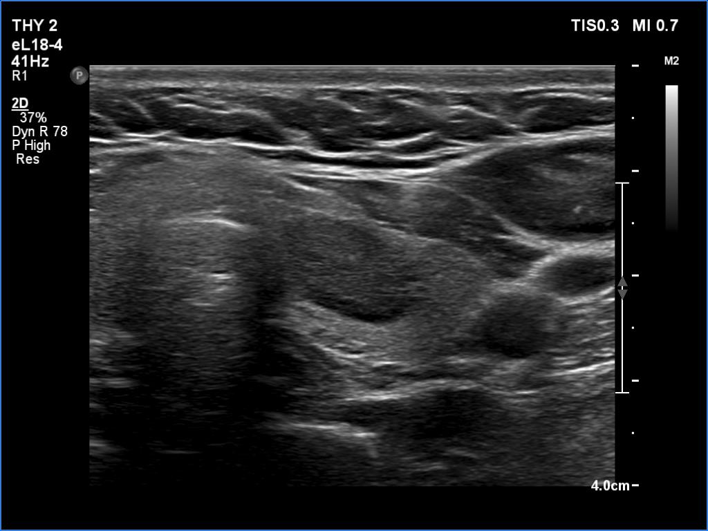
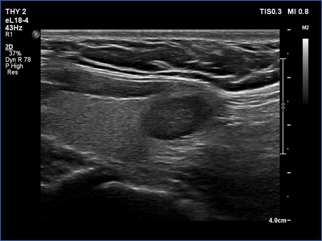
Ultrasonography. The thyroid was echonormal. There was a moderately hypoechoic lesion in the lower pole of the right lobe. The lesion presented no suspicious findings.
Cytology resulted in carcinoma, probably metastasis of breast cancer. Wash out thyroglobulin resulted in 0.2 ng/mL.
Further history of the patient. Surgery was planned but the patient has got a severe COVID-19 infection, which was treated in intensive care unit for two weeks. Five weeks after thyroid cytology, lung metastases were confirmed by lung CT for COVID-19 infection, and then brain and liver metastases were found by repeat PET-CT one week later. A core biopsy performed another week later confirmed triple negative, ductal invasive breast cancer.





