Thyroid cancers - case conp 020 (cytologic picture 6)
|
|
|
![]() |
|
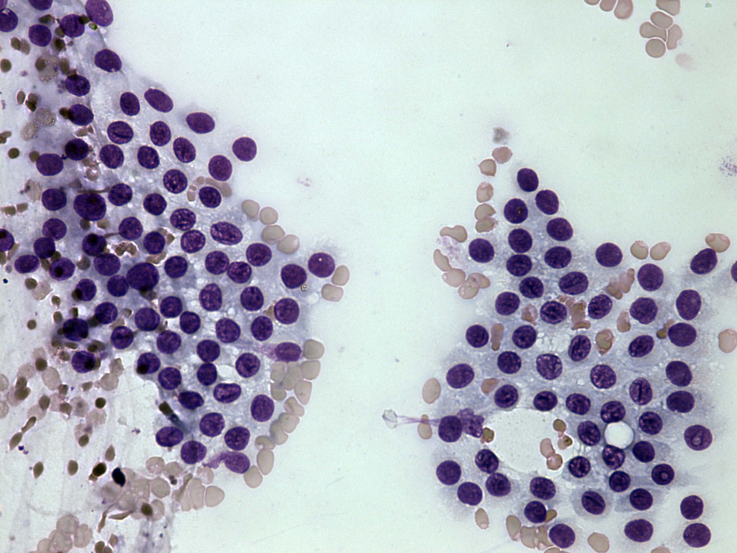
Wright-Giemsa staining, 400x. Although the cells are regularly distributed, the presence of groove in large number of nuclei is a suspicious sign.

