Menu
Home
2 Nodular goiter
3 Non-nodular thyroid
4 Non-thyroid neck
5 US-interventions
6 Advanced courses
Thyroid cancers
Cases
Supplement
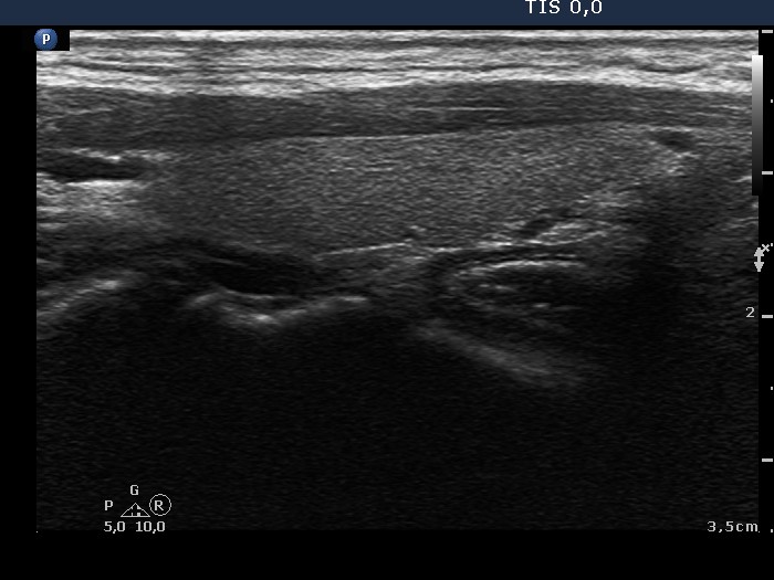
Thyroid cancers - case conp 020 (ultrasonographic picture 4)
Left lobe, longitudinal scan. This lobe is intact.