Menu
Home
2 Nodular goiter
3 Non-nodular thyroid
4 Non-thyroid neck
5 US-interventions
6 Advanced courses
Supplement
Supplementum
Chapter Home
Nodular goiters
Papillary cancers
Day 1 in thyroid unit
TIRADS study
Hashimoto's cases
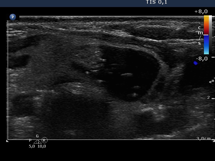
Study on 100 consecutive patients with thyroid nodule - case 029 (ultrasonographic picture 9)
Left lobe, transverse scan, color Doppler mode.