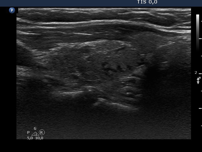
Consecutive patients with the final diagnosis of Hashimoto's thyroiditis - case 43 (1182) (ultrasonographic picture 5)
|
|
|
|
Left lobe, longitudinal view. The hypoechogenic areas correspond to more active foci of thyroiditis.
