Discrete lesion or nodule in Hashimoto's thyroiditis - case 26 (1048)
Second examination three years later (ultrasonographic picture 6)
|
|
|
|
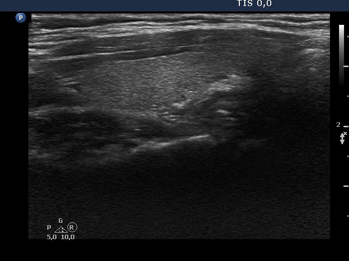
Left lobe longitudinal scan. The lower part of the lobe became moderately hypoechogenic.
