100 consecutive cases of papillary cancer - case 072 |
|
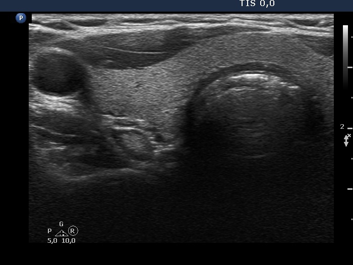
Clinical presentation: A 47-year-old man referred for evaluation of a nodule discovered on ultrasound screening.
Palpation. There was a very firm nodule in the left thyroid.
Laboratory test: TSH 1.83 mIU/L.
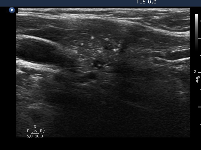
Ultrasonography. The thyroid was echonormal. There was a dominantly hypoechoic nodule in the left lobe. The nodule had both microcalcifications and macrocalcification and was avascular.
Cytology resulted in papillary carcinoma.
Histopathology disclosed papillary carcinoma.





