Menu
Home
2 Nodular goiter
3 Non-nodular thyroid
4 Non-thyroid neck
5 US-interventions
6 Advanced courses
Supplement
Supplementum
Chapter Home
Nodular goiters
Papillary cancers
Day 1 in thyroid unit
TIRADS study
Hashimoto's cases
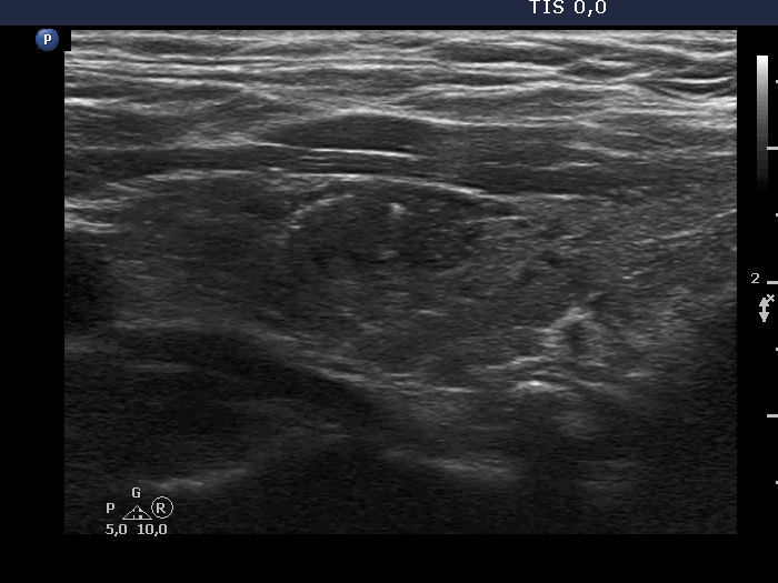
100 consecutive cases of papillary cancer - case 084 (ultrasonographic picture 7)
Left lobe, another longitudinal scan. The nodule has a few bright echogenic granules.