Graves' disease - Case 15.
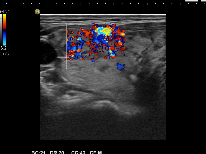
Follow-up investigation 30 months after first visit (ultrasonographic picture 3)
Patient one year after discontinuation of thyrostatics in hyperthyroid state
|
|
|
|
Right lobe, horizontal scan, Doppler mode. The vascularization is increased.
