Menu
Case histories
Lectures
Follicular cancer
List of cases
Videorecords
Pitfalls
Course book
Course on US
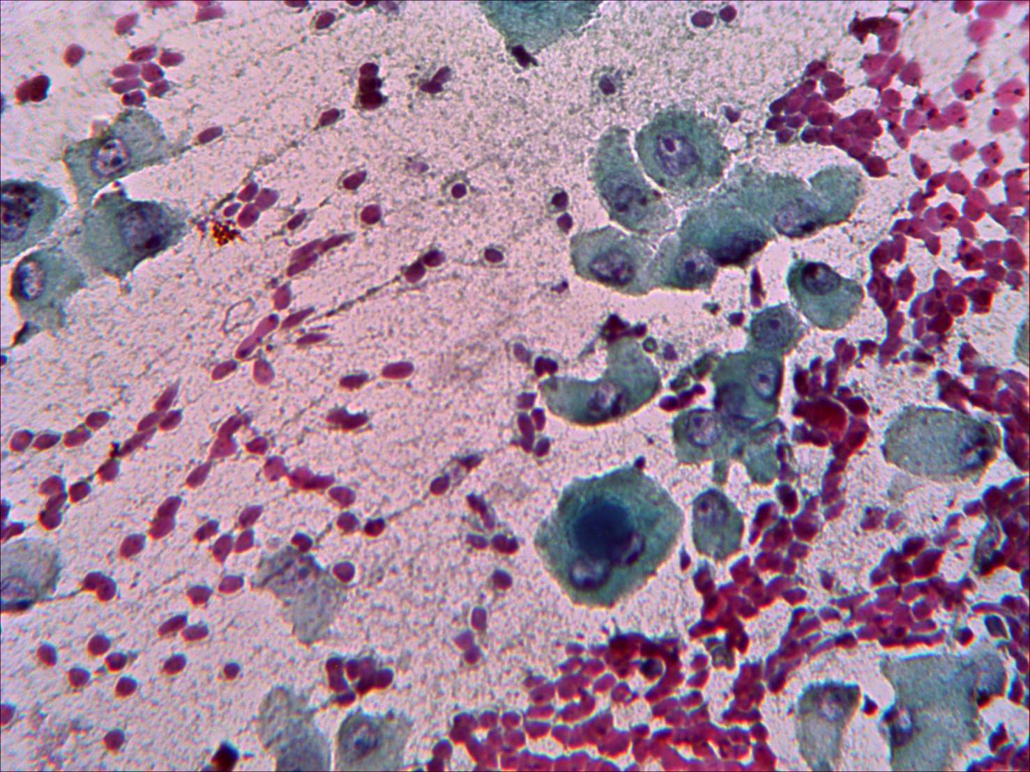
Follicular carcinoma - Case 12. (cytologic picture 4)
Pap-smear, 400x. There were many binucleated cells on the smear.