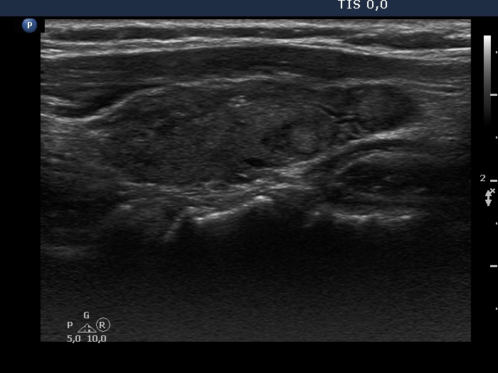
Consecutive patients with Hashimoto's thyroiditis - Case 10. (ultrasonographic picture 6)
|
|
|
|
Left lobe, longitudinal scan. This lobe is minimally hypoechogenic. There are two discrete areas which are divided by capsule from the non-lesional part. The echo pattern of the discrete lesions is identical to the non-lesional part of the lobe.
