Menu
Case histories
Lectures
A new approach
List of cases
Videorecords
Pitfalls
Course book
Course on US
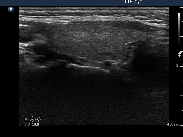
The role of complex diagnosis - not diagnostic cytology - Case 5.
Two years after the initial examination (ultrasonographic picture 3)
Right lobe, longitudinal view.