Menu
Case histories
Lectures
A new approach
List of cases
Videorecords
Pitfalls
Course book
Course on US
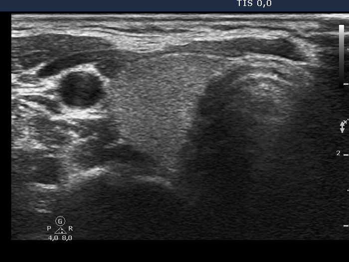
The role of complex diagnosis - not diagnostic cytology - Case 5. (ultrasonographic picture 1)
Lower pole of the right lobe, horizontal scan. There is a cystic nodule
.