Menu
Case histories
Lectures
Anaplastic cancer
List of cases
Videorecords
Pitfalls
Course book
Course on US
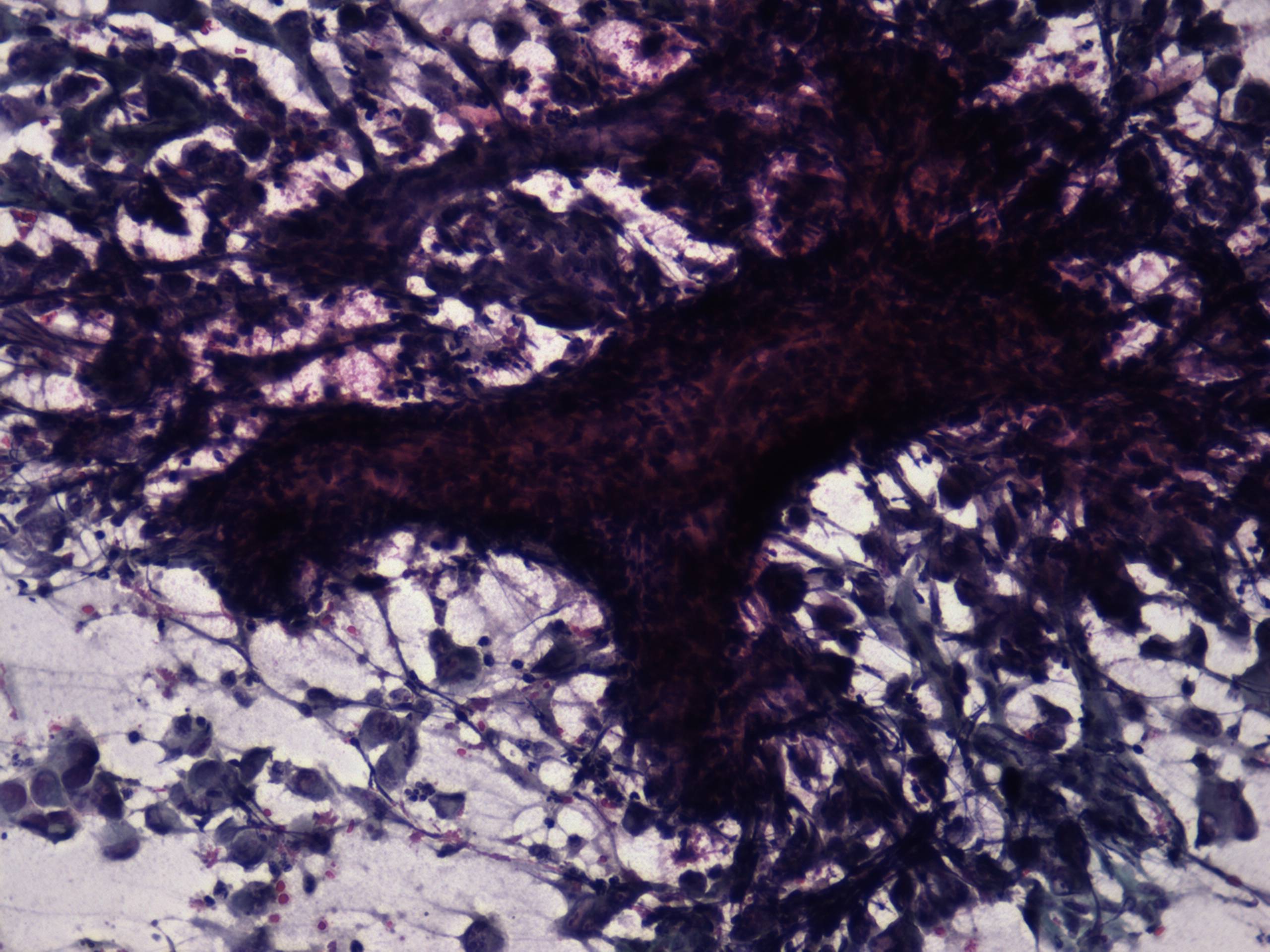
Anaplastic carcinoma - Case 12. (cytologic picture 2)
Pap-smear, 200x. The palisading fragment at higher power field.