Ethanol sclerotherapy: thyroid cysts - Case 6 |
|
Clinical presentation: a 71-year-old man was presented with a recurring cyst. The maximal diameter of the cyst exceeded 50 mm. We aspirated 25 ml serous fluid 4 weeks earlier. The cytology resulted in cystic lesion. The cyst recurred within a week. The nodule caused difficulties in swallowing. We advised ethanol sclerotherapy instead of surgery.
Palpation: an elastic nodule in the right lobe.
Functional state: euthyroidism with TSH 1.20 mIU/L.
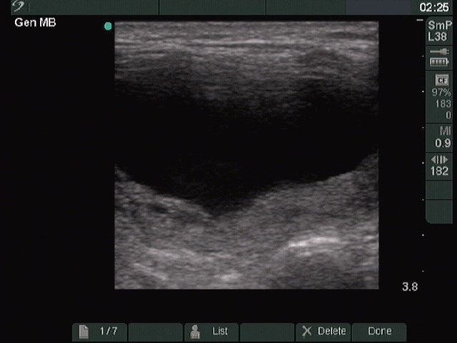
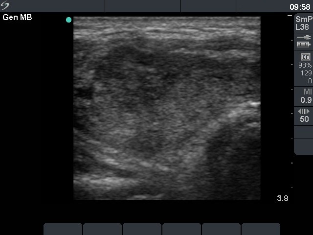
Ultrasonography : the thyroids were echonormal. There was a cystic nodule with an echonormal solid part in the right lobe.
Five sessions of sclerotherapy were performed. We gave 19.8 mL alcohol during five sessions of ethanol sclerotherapy. We demonstrate the first and the third sessions.
Follow-up examinations: the nodule decreased to 35x20x38 mm six weeks after the last session. Three years later the volume of the nodule was 55.8% of the pre-therapy volume. Generally, at least 50% reduction in volume is the requirement of the success of sclerotherapy. It means that the therapy was statistically unsuccessful. Nevertheless, the patient has no complaints, therefore he wished to continue follow-up instead of surgery or repeated sclerotherapy.




















