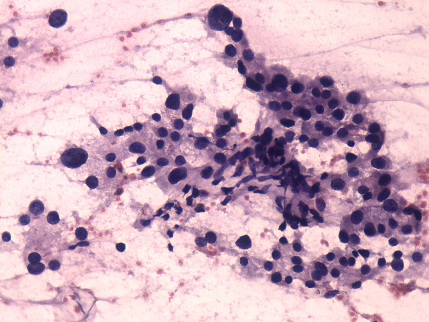
Follicular adenoma - Case 35. (cytologic picture 3)
|
|
|
|
|
Pap-smear, 400x. A cluster of follicular cells with fibrovascular core. Several extremely enlarged follicular cells can be found.

