Differentiation of discrete lesions - case 1483 (ultrasonographic picture 8)

doi: 10.24390/thyrocase1483.08

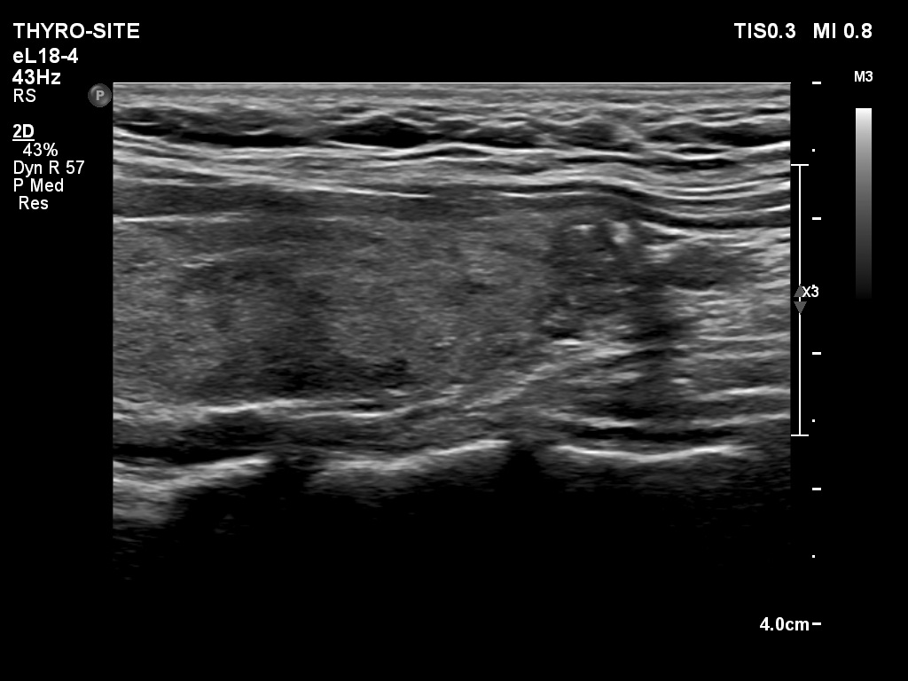
Left lobe, longitudinal scan. The lesion in question has lobulated margins. The lobe contains other hypoechogenic areas corresponding to the underlying Hashimoto's thyroiditis.

 

mask