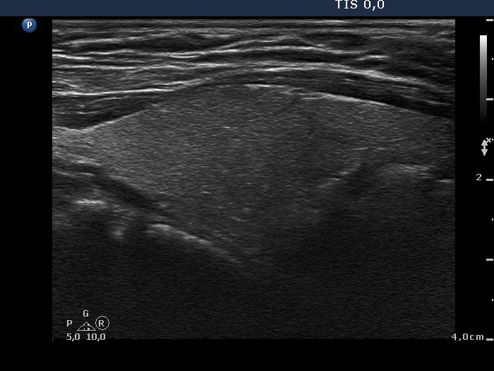
Oxyphilic adenoma - Case 11. (ultrasonographic picture 2)


Previous picture Back to Case Next picture


Right lobe, longitudinal scan. Note the central protrusion of the lobe which caused nodular appearance on palpation.

mask