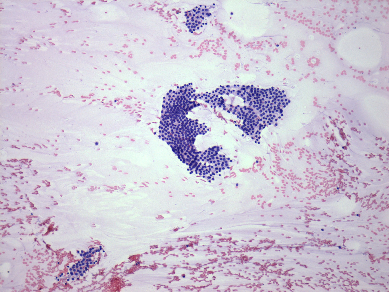
Chronic lymphocytic thyroiditis - Case 86. (cytologic picture 1 of the lesion in the isthmic part of the right lobe)
|
|
|
|
|
Pap-smear, 100x. Regular monolayered sheets of follicular cells.

