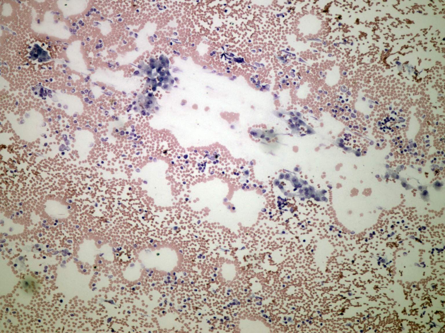
Chronic lymphocytic thyroiditis - Case 86. (cytologic picture 1 of the lesion in the left lobe)
| |
|
|
|
Wright-Giemsa staining, 100x. Follicular cells with abundant cytoplasm and lymphoid elements can be seen.

