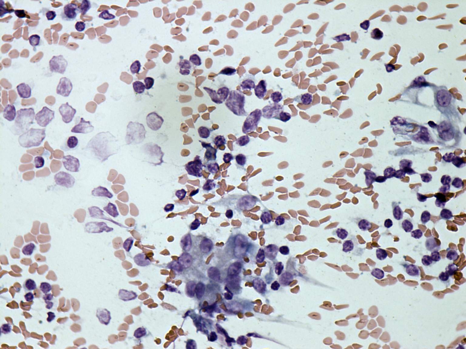
Chronic lymphocytic thyroiditis - Case 86. (cytologic picture 5 of the lesion in the left lobe)
| |
|
|
Wright-Giemsa staining, 400x. Typical presentation of Hashimoto's thyroiditis: follicular cells displaying oxyphilic metaplasia mixed with lymphoid elements.

