Menu
Case histories
Lectures
Medullary cancer
List of cases
Videorecords
Pitfalls
Course book
Course on US
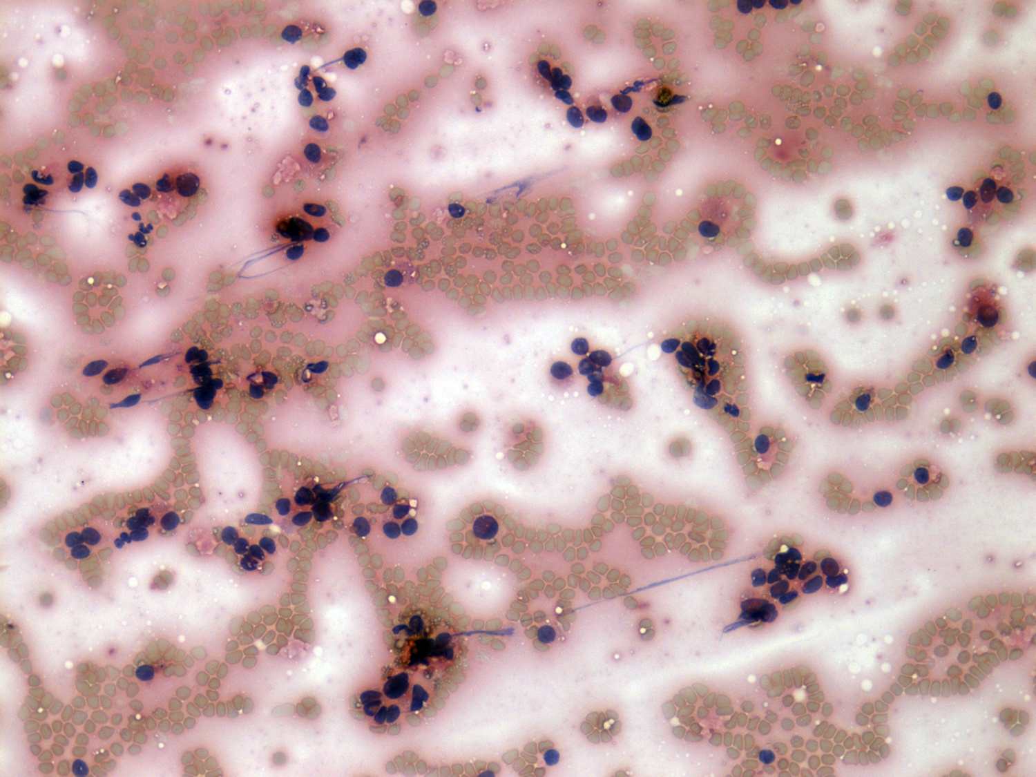
Medullary cancer - Case 3. (cytologic picture 2)
H.-E. smear
, 200x. Follicular cells vary in size.