Menu
Case histories
Lectures
Medullary cancer
List of cases
Videorecords
Pitfalls
Course book
Course on US
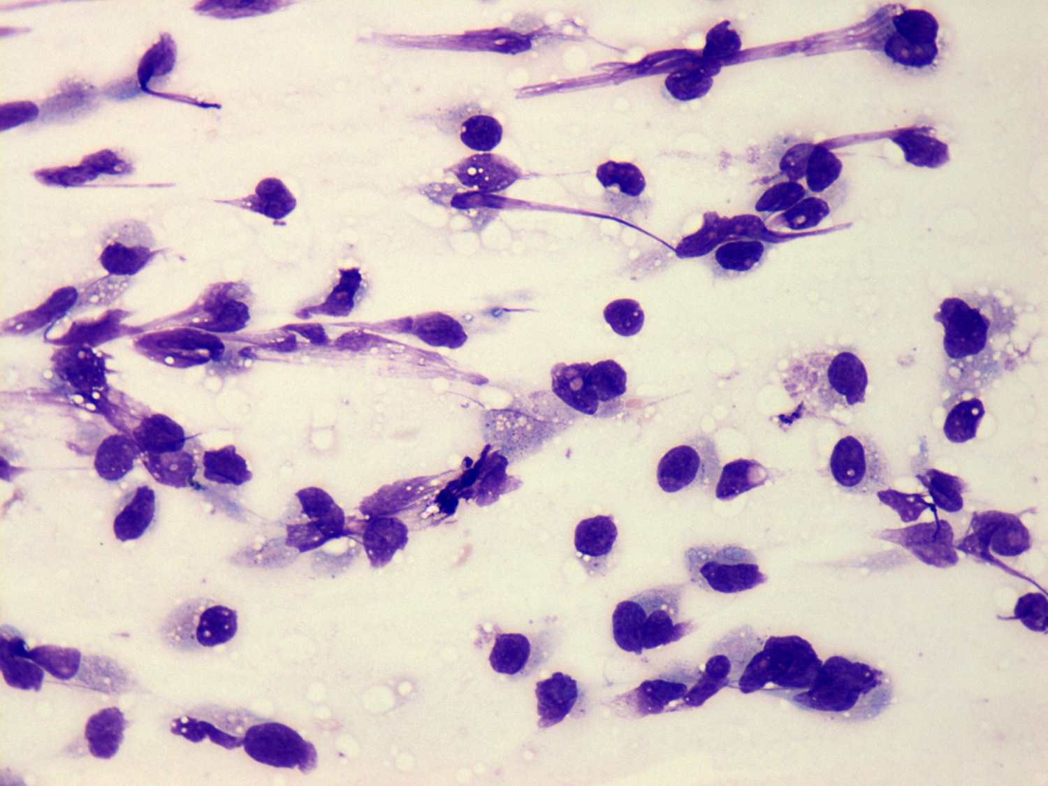
Medullary cancer - Case 3. (smear 2 - cytologic picture 4)
Wright-Giemsa staining, 400x. Pleomorphic, degenerated tumor cells.