Menu
Case histories
Lectures
Medullary cancer
List of cases
Videorecords
Pitfalls
Course book
Course on US
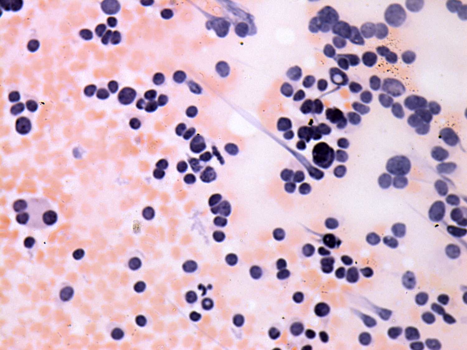
Medullary cancer - Case 3.
Second investigation - 4 years later (cytologic picture 4)
Pap-smear, 400x.