Menu
Case histories
Lectures
Medullary cancer
List of cases
Videorecords
Pitfalls
Course book
Course on US
Medullary cancer - Case 3.
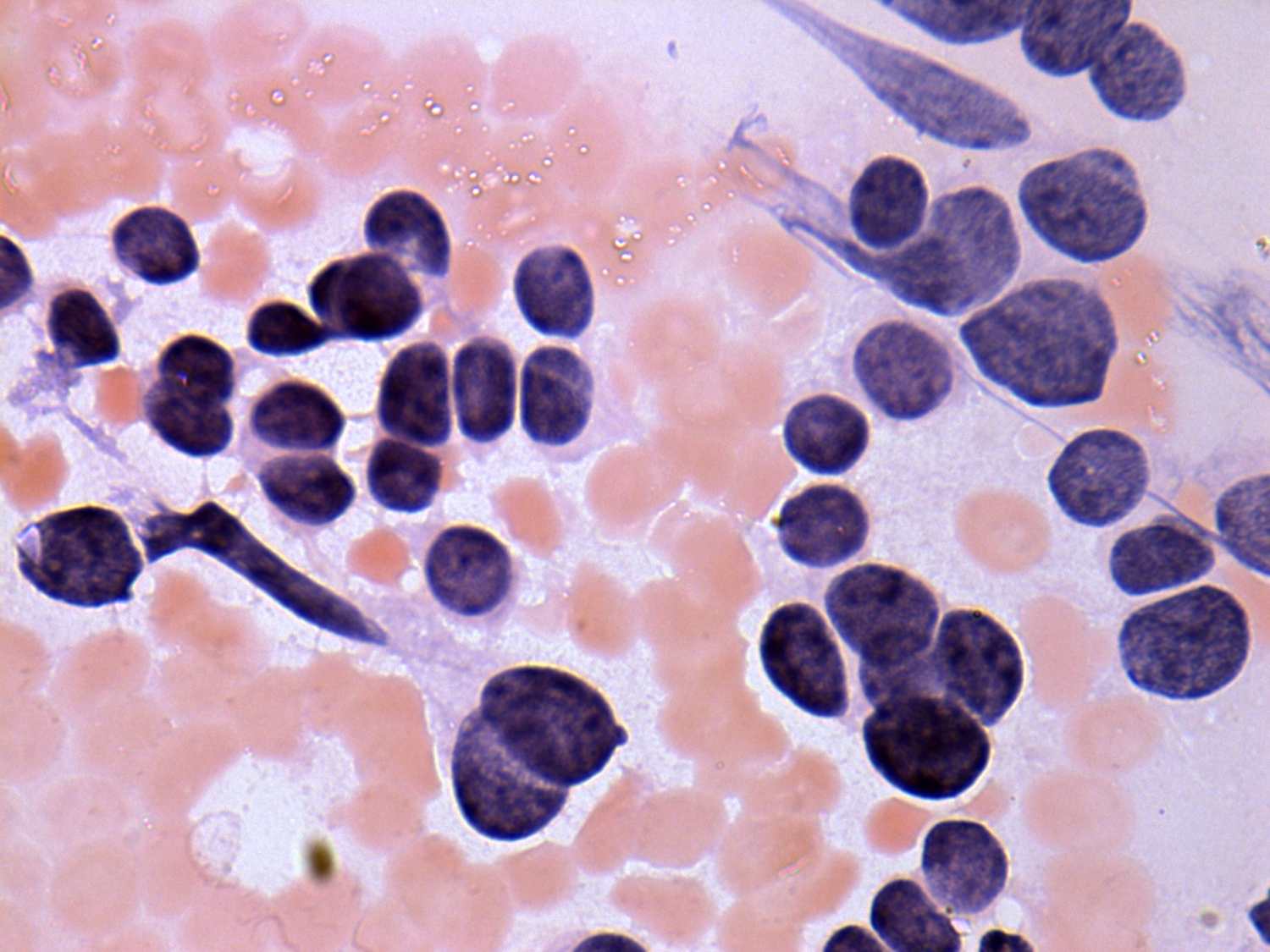
Second investigation - 4 years later (cytologic picture 6)
Pap-smear, 1000x. Atypical, even pleomorphic forms are demonstrated.