Menu
Case histories
Lectures
A new approach
List of cases
Videorecords
Pitfalls
Course book
Course on US
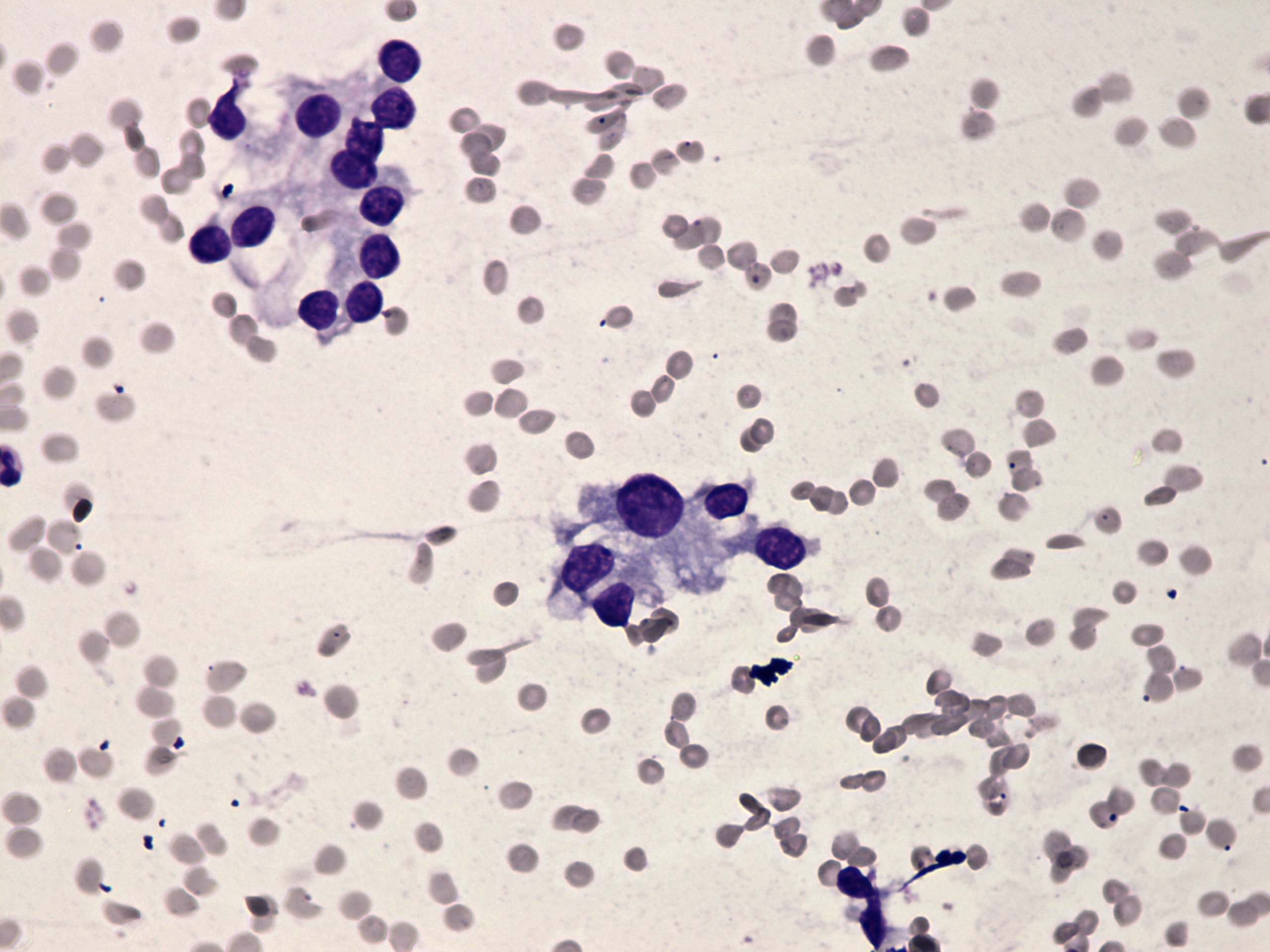
The role of complex diagnosis - follicular proliferation - Case 7. (cytologic picture 3)
Wright-Giemsa staining, 400x. Note marked anisonucleosis, abundant cytoplasm and microfollicular formation.